폐기흉 원인과 증상 및 치료 정리
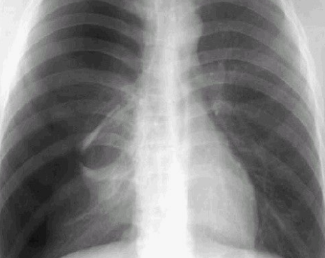
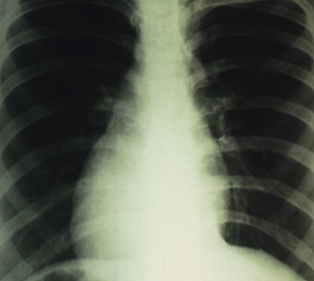
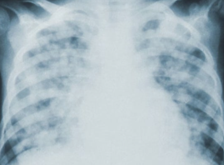
폐기흉은 폐에 구멍이 생겨 공기가 흉막강으로 유입되면서 폐가 정상적으로 기능하지 못하는 질환입니다. 초기에는 단순 통증으로 보일 수 있지만, 심각해지면 호흡부전으로 이어질 수 있어 조기 진단과 치료가 중요합니다.
폐기흉은 특정 연령과 생활 습관, 그리고 폐 질환 이력에 따라 발생 위험이 달라집니다. 정확한 원인을 이해하고 증상 발생 시 신속하게 대응하는 것이 안전한 회복의 첫걸음이 됩니다.

폐기흉 원인
⭐ 폐기흉은 다양한 원인으로 발생하며 생활 습관과 폐 건강이 밀접히 관련됩니다.
폐기흉은 크게 자발성, 이차성, 외상성으로 구분됩니다. 특히 키가 크고 마른 체형의 젊은 남성, 흡연자에서 발생 위험이 높습니다. 자발성은 별다른 질환이 없는 상태에서 갑자기 나타나며, 이차성은 결핵이나 폐기종, 폐암 같은 기저 질환이 원인이 됩니다. 외상성은 교통사고, 수술, 시술 중 손상으로 발생합니다. 생활 습관과 기존 질환이 주요한 원인 요인으로 작용합니다.



증상
폐기흉의 증상은 갑작스럽게 나타나며 빠른 대처가 필요합니다. 대표적으로 갑작스러운 흉통과 호흡곤란이 있으며, 심할 경우 청색증, 호흡부전, 심장 기능 저하까지 이어질 수 있습니다. 폐기흉 환자의 약 절반은 재발할 수 있어, 초기 증상 발생 시 지체 없이 의료진의 진단을 받는 것이 중요합니다. 경미한 증상이라도 무시하지 않고 빠른 대응이 필요합니다.
치료 방법
폐기흉 치료는 상태에 따라 달라집니다. 가벼운 경우 산소 공급과 휴식으로 회복될 수 있으며, 심한 경우 흉부관 삽입이나 수술이 필요합니다. 또한, 재발 위험이 높아 예방적 수술을 고려하기도 합니다. 치료는 증상의 정도, 환자의 기저 질환 여부에 따라 맞춤형으로 진행됩니다. 적절한 치료를 통해 합병증을 최소화하고 안전한 회복을 도모할 수 있습니다.
- 산소 치료
- 흉부관 삽입
- 재발 방지 수술
폐기흉 환자 주의사항
⭐ 폐기흉 환자는 생활 관리와 재발 방지에 주의가 필요합니다.
남성이 여성보다 발생률이 높으며, 흡연은 주요 위험 인자로 알려져 있습니다. 특히 고령자나 기저 폐 질환을 가진 환자는 예후가 좋지 않을 수 있어 더욱 관리가 필요합니다. 규칙적인 건강검진과 생활습관 개선은 재발 방지에 도움을 줍니다. 폐 건강을 지키는 생활 관리가 장기적인 예후를 좌우합니다.
폐기흉 예방과 관리
폐기흉은 재발 위험이 크므로 꾸준한 관리가 필수입니다. 흡연을 피하고 규칙적인 폐 건강 검진을 받는 것이 중요합니다. 적절한 운동과 생활 습관 개선으로 폐 기능을 유지하면 재발 가능성을 줄일 수 있습니다. 예방적 생활 습관이 폐 건강을 지키는 핵심입니다.
- 금연 실천
- 정기 검진
- 적절한 운동
- 폐 질환 관리
- 의료진 상담
폐기흉 정리 표
| 종류 | 특징 | 위험 요인 |
| 자발성 | 건강한 젊은 남성에서 갑작스런 발생 | 흡연, 마른 체형 |
| 이차성 | 기존 폐 질환자에게서 발생 | 결핵, COPD, 폐암 |
| 외상성 | 외부 충격, 시술로 인한 폐 손상 | 교통사고, 수술 |
폐기흉의 종류와 특징, 위험 요인을 정리한 표입니다. 발생 원인을 이해하면 예방과 치료 방향을 쉽게 알 수 있습니다. 체계적인 구분은 환자 관리에 실질적인 도움을 줍니다.
결론
폐기흉은 생활 습관, 기저 질환, 외상 등 다양한 원인으로 발생하며, 재발 위험이 높은 질환입니다. 빠른 진단과 적절한 치료, 그리고 예방적 관리가 환자의 회복과 장기적인 건강을 좌우합니다. 증상이 의심되면 지체하지 말고 의료기관을 방문하는 것이 안전합니다.
FAQ
Q. 폐기흉은 누구에게 잘 생기나요?
A. 주로 키가 크고 마른 체형의 젊은 남성에게 잘 발생합니다. 흡연은 위험을 크게 높이는 요인으로 알려져 있습니다. 또한 결핵, COPD, 폐암 등 기저 질환이 있는 사람이나 고령자의 경우에도 발생할 가능성이 높습니다. 외상으로 인한 손상 역시 주요 원인 중 하나입니다.
Q. 증상은 어떻게 나타나나요?
A. 폐기흉은 갑작스러운 가슴 통증과 호흡 곤란이 대표적 증상입니다. 심할 경우 피부나 입술이 푸르게 변하는 청색증, 호흡 부전, 심장 기능 저하 등이 나타날 수 있습니다. 증상이 경미하다가도 빠르게 악화될 수 있어 초기 대응이 무엇보다 중요합니다.
Q. 재발이 잘 되나요?
A. 폐기흉 환자의 약 40~50%는 재발을 경험하는 것으로 알려져 있습니다. 특히 흡연자, 폐 질환자, 또는 첫 발병 연령이 낮은 경우 재발률이 더 높습니다. 따라서 치료 후에도 정기 검진과 생활 관리가 필요하며, 잦은 재발 시에는 수술적 치료를 고려할 수 있습니다.